
KIT FR
Il kit clinico completo per la protesi definitiva customizzata.
Ogni KIT FR nasce da una progettazione digitale personalizzata sui dati del paziente e segue un flusso clinico integrato che rende i risutlati predicibile, culminando in una componentistica pronta all’uso per la chirurgia.
Basato su un protocollo clinico innovativo First Biological Respect.
THE SCIENCE BEHIND IT
Punti di forza
Customizzazione totale
Abutment e kit protesico definitivio e customizzato.
Trattamento predicibile
Dal progetto digitale al risultato clinico.
Stabilità biologica
Geometrie brevettate per guidare il coagolo e preservare i tessuti.

Per la prima volta, il one-time abutment diventa custom
Progettato per dente e per arcata, l’abutmet definitvo FR viene posizionato a tempo zero, stabilizzando il coagulo e definendo il sigillo osso-mucoso fin dall’intervento.
Disconnessioni intermedie ripetute
Sigillo biologico ed estetica ottimizzata

Geometrie brevettate per guidare il coagulo e stabilizzare i tessuti
La geometria delle componenti implanto-protesiche FR è brevettata e ottimizzata per guidare il coagulo e favorire la corretta differenziazione tissutale, nel rispetto della biologia dei tessuti peri-implantari.
Ribasature intermedie e compromissione tissutale
Profilo tissutale morfologicamnete corretto
Dal paziente al kit pronto all'uso
FASE 1
Carica i dati del paziente
Inserisci i dati clinici del caso sulla nostra piattaforma e ricevi diagnosi e panificazione implantoproetisica personalizzata.
FASE 2
Approva il progetto digitale
Mostra la proposta di trattamento al tuo paziente e approva in un click il progetto sviluppato sui suoi dati.
FASE 3
Ricevi il KIT in studio
Le componenti implanto-protesiche customizzate sul caso clinico, inclusi abutment e corona definitivi, pronti per la chirurgica.
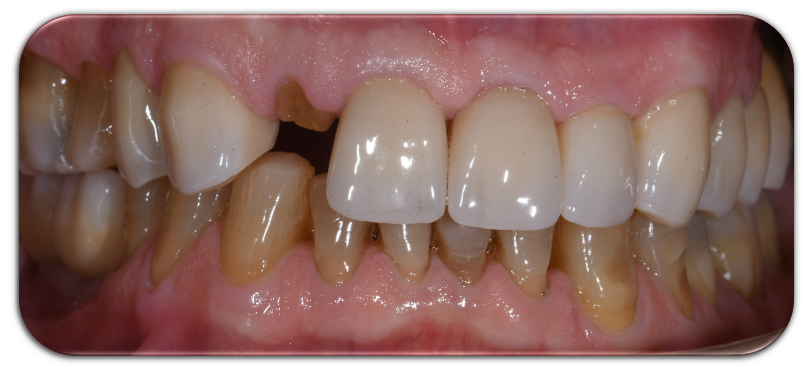
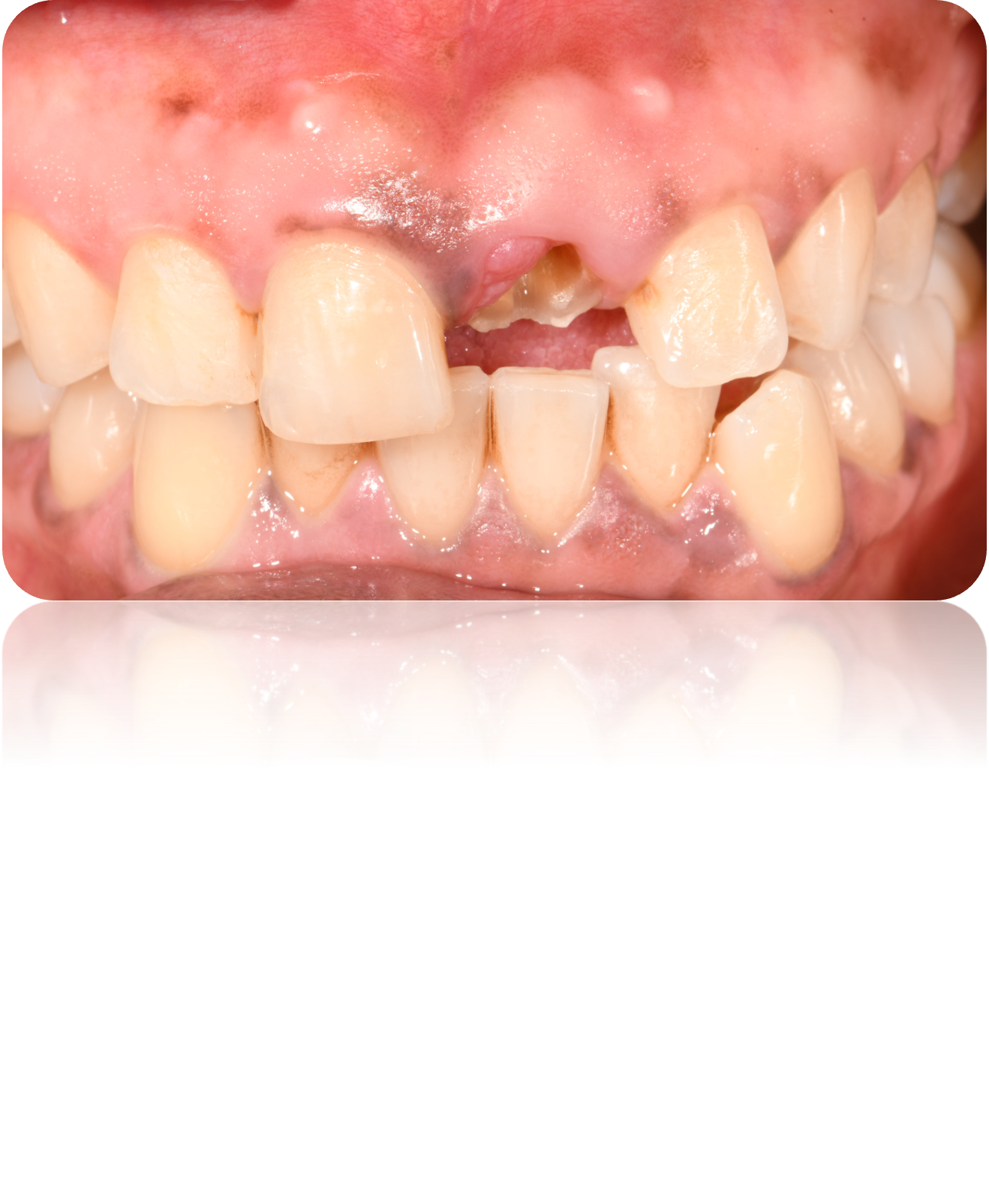
Before and after








+150 interventi eseguiti
Inclusi casi con impianti multipli immediati precoci e tardivi, a conferma della versatilità delle componenti customizzate.
SIMATEK Providers
“Per anni abbiamo ferito il tessuto che volevamo proteggere. Il Metodo FR cambia tutto: non lottiamo più contro la biologia, agiamo con essa. Un'unica connessione, stabilità duratura, tessuti che rigenerano.”
Dott. Franco Rizzuto
Comitato Scientifico

Science first.

Tre webinar, un metodo, una piattaforma d'eccellenza. Simatek arriva su Osteocom a maggio con il percorso formativo completo sul Method FR. Scopri come cambia l'implantologia.
Leggi l’articolo
SIMATEK al Congresso Internazionale Biomax 2025
Jun 23, 2025
Dal palco del Congresso Biomax di Verona, SIMATEK porta una nuova visione dell’implantologia col brevetto del Method FR.
Leggi l’articolo%201.png)
Abstract pubblicato su PubMed che spiega l'approccio clinico che integra pianificazione digitale e monconi definitivi personalizzati per impianti immediati.
Leggi l’articoloDomande frequenti
Come posso diventare un SIMATIK Provider?
È possibile iniziare entrando in contatto con il team SIMATEK oppure accedendo ai percorsi formativi SIMATEK Academy. Il professionista viene accompagnato nell’adozione progressiva della metodica all’interno del proprio flusso di lavoro clinico.
Non perderti le novità!
Ricevi per primo le nostre nuove pubblicazioni, annunci di corsi e insights sull'innovazione.








